- 上の入れ歯が落ちてきて物が咬めない
- 右下5番を虫歯で抜歯した。放置していたので治療したい
- 奥歯が痛い。インプラントを含めて治療を相談したい
- 他院で治療中の歯が痛むため、応急処置をしてほしい
- インプラント治療の続きをしてほしい
- 上の左右の奥歯がないのでインプラントについて相談したい
- 根っこだけになった歯がある。歯全体の黄ばみも気になる
- オールオン4 レスキュー症例
症例01
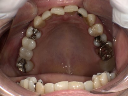
上の入れ歯が落ちてきて物が咬めない
術前レントゲン
術後レントゲン
術前
術後
術前
術後
| 主訴 |
上の入れ歯が落ちてきて物が咬めない。 |
|---|---|
| 治療内容 |
元々左上3,4,6番を支台とした義歯を装着されていた患者様です。固定式補綴装置での治療を希望されたため、インプラントとブリッジ治療を計画しました。左上3,4,6番をジルコニアクラウンにてブリッジ補綴。右上6番から左上2番まではインプラントを5本埋入し、歯肉付きジルコニアクラウンの上部構造を装着しました。骨格性の反対咬合でしたが、ご本人の希望もあり正常被蓋での咬合再建を行いました。下顎は現時点では不自由していないとの事で、当院では未治療です。 |
| ご来院期間 | 9か月 |
| ご来院回数 | 15回 |
| 治療費用 |
左上3~6番ジルコニアブリッジ 66,000×4歯=264,000円 右上6~左上2番インプラント1,700,000円(診断料、インプラント埋入、骨造成、プロビジョナルレストレーション、ジルコニア製上部構造含む) |
| リスクと副作用 |
インプラント埋入手術は術後に腫れや痛みが出ることがありますが、1週間程度で治まります。また、創部からの細菌感染のリスクもありますので、当院では滅菌設備を整え、感染対策を徹底しております。インプラントブリッジやブリッジの構造上プラークが溜まりやすいため、歯間ブラシ等の補助的な清掃用具の使用や定期的なメンテナンスが必要です。 |
症例02
右下5番を虫歯で抜歯した。放置していたので治療したい
術前レントゲン
術後レントゲン
術前
術後
| 主訴 |
右下5番を虫歯で抜歯した。放置していたので治療したい。 |
|---|---|
| 治療内容 |
補綴方法についてカウンセリングを行い、ご本人よりインプラントの希望を伺いました。CT検査を行ったところ右下5番欠損部の骨量は十分であり骨質も良好であったため、サージカルガイドを使用したフラップレス(切らない手術方法)1回法でインプラントを埋入しました。手術時間は5分程度でした。2ヶ月後周囲骨との結合を確認し上部構造を装着しました。 |
| ご来院期間 | 3か月 |
| ご来院回数 | 5回 |
| 治療費用 |
335,500円(インプラント診断料5,500円 インプラント埋入165,000円 ジルコニア製上部構造165,000円) |
| リスクと副作用 |
インプラント埋入手術は術後に腫れや痛みが出ることがありますが、1週間程度で治まります。また、創部からの細菌感染のリスクもありますので、当院では滅菌設備を整え、感染対策を徹底しております。 |
症例03
奥歯が痛い。インプラントを含めて治療を相談したい
術前レントゲン
術後レントゲン
術前
術後
| 主訴 |
奥歯が痛い。インプラントを含めて治療を相談したい。 |
|---|---|
| 治療内容 |
右下6番、右上6番は歯根破折のため抜歯しインプラント治療を行う事になりました。リッジプリザベーション(抜歯後に骨が吸収するのを防ぐ処置)を行い、抜歯後約2ヶ月でインプラント埋入を行いました。右上6番は上顎洞(副鼻腔)まで3mmの厚みしかなかったため、CGF(骨再生材料)を用いてソケットリフト(副鼻腔の粘膜も持ち上げて骨の高さを作る処置)を行いました。骨結合後に二次手術(インプラントの土台をつける処置)を行い、ジルコニア製上部構造を装着しました。 |
| ご来院期間 | 6か月 |
| ご来院回数 | 10回 |
| 治療費用 |
720,000円(診断料5,500円 インプラント埋入 165,000×2歯=330,000円 ソケットリフト55,000円 ジルコニア製上部構造 165,000×2歯=330,000円) |
| リスクと副作用 |
インプラント埋入手術は術後に腫れや痛みが出ることがありますが、1週間程度で治まります。また、創部からの細菌感染のリスクもありますので、当院では滅菌設備を整え、感染対策を徹底しております。ソケットリフト手術は極めてまれな例ですが、器具が上顎の上の空洞(上顎洞)を貫いてしまい、上顎洞炎という症状を引き起こすことがあります。 |
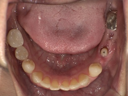
症例04
他院で治療中の歯が痛むため、応急処置をしてほしい
治療前

治療後


| 主訴 |
他院で治療中の歯が痛むため、応急処置をしてほしい。 |
|---|---|
| 治療内容 |
他院で治療中の左上6番の痛みで受診されました。詰め物を作るための型取りまで前医で行ったとの事でしたので、投薬のみ行い治療元で相談してもらうように説明しました。その後、前医で根管治療を行った際に、歯の根に大きな穴をあけてしまったようで、根管治療専門医にも相談したところ予後不良と判断され、当院で抜歯とインプラント治療を希望されて再度来院されました。 抜歯と同日にインプラントを埋入する抜歯即時埋入を行いました。骨結合後に二次手術(インプラントの土台をつける処置)を行い、上部構造を装着しました。 |
| ご来院期間 | 4か月 |
| ご来院回数 | 6回 |
| 治療費用 |
341,000円(インプラント診断料5,500円 抜歯即時インプラント埋入165,000円 二次手術5,500円 ジルコニア製上部構造165,000円) |
| リスクと副作用 |
インプラント埋入手術は術後に腫れや痛みが出ることがありますが、1週間程度で治まります。また、創部からの細菌感染のリスクもありますので、当院では滅菌設備を整え、感染対策を徹底しております。 |
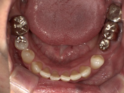
症例05
インプラント治療の続きをしてほしい
治療前

治療後
治療前
治療後
| 主訴 |
インプラント治療の続きをしてほしい。 |
|---|---|
| 治療内容 |
開業前に右下7番と左下7番にインプラント埋入まで行っていた患者様です。インプラント治療の続きを希望されてご来院されました。当院にて二次手術後に上部構造を装着いたしました。元の骨が柔らかく生着まで6ヶ月の待期期間が必要でしたが、現在は問題なく安定しております。 |
| ご来院期間 | 2か月 |
| ご来院回数 | 4回 |
| 治療費用 |
2次手術 5,500×2歯=11,000円 |
| リスクと副作用 |
プラークが溜まるとインプラント周囲炎になる事があります。適切なセルフケアと定期的なメンテナンスが必要です。 |
症例06
上の左右の奥歯がないのでインプラントについて相談したい
治療前

治療後
治療前
治療後
| 主訴 |
上の左右の奥歯がないのでインプラントについて相談したい。 |
|---|---|
| 治療内容 |
上の奥歯に4本のインプラントを埋入する計画を立てました。 右上は骨の厚みが足りないためCGF(骨再生材料)を用いてソケットリフト(副鼻腔の粘膜も持ち上げて骨の高さを作る処置)を行いインプラントを埋入しました。左上5番は歯根破折のため抜歯して即時に2本インプラントを埋入しました。ご本人の希望で上記処置を1日で行いました。1時間30分程度の時間を要しましたが、ご本人の頑張りもあって無事手術を終える事ができました。 4カ月経過後にインプラントと骨が適切に付着しているか確認し、ジルコニアの上部構造を装着しました。 |
| ご来院期間 | 6か月 |
| ご来院回数 | 13回 |
| 治療費用 |
1,380,500円(インプラント診断料5500円 インプラント埋入165,000×4歯=660,000円 ソケットリフト55,000円 ジルコニア製上部構造165,000×4歯=660,000円) |
| リスクと副作用 |
インプラント埋入手術は術後に腫れや痛みが出ることがありますが、1週間程度で治まります。また、創部からの細菌感染のリスクもありますので、当院では滅菌設備を整え、感染対策を徹底しております。ソケットリフト手術は極めてまれな例ですが、器具が上顎の上の空洞(上顎洞)を貫いてしまい、上顎洞炎という症状を引き起こすことがあります。 |
症例07
根っこだけになった歯がある。歯全体の黄ばみも気になる
治療前
治療後
治療前
治療後
治療前
治療後レントゲン
治療前
治療後
治療前
治療後
| 主訴 |
根っこだけになった歯がある。歯全体の黄ばみも気になる |
|---|---|
| 治療内容 |
右上6番と左上4番は虫歯が大きく抜歯しインプラントを行う方針にしました。 |
| ご来院期間 | 6か月 |
| ご来院回数 | 10回 |
| 治療費用 |
インプラント7975,000円(診断料5,500円 リッジプリザベーション33,000×2歯=66,000円 インプラント埋入165,000×2歯=330,000円 ソケットリフト55,000円 ジルコニア製上部構造165,000×2歯=330,000円) ホワイトニング11,000×5回=55,000円 |
| リスクと副作用 |
【インプラント】 |
症例08
オールオン4 レスキュー症例
治療前
治療後
治療前
治療後
治療前
治療後
| 主訴 | 他院にて8~9年前にインプラントの手術を行ったがその後閉院してしまった。現在仮歯の状態なため治療を終わらせたい。 |
|---|---|
| 治療内容 |
仮歯・土台・ねじの破折など様々な問題がありました。全て除去し新しい土台を入れて、ジルコニア製の上部構造を装着しました。 |
| ご来院期間 | 2か月 |
| ご来院回数 | 4回 |
| 治療費用 |
ジルコニア製上部構造 上顎 880,000円 下顎 880,000円 |
| リスクと副作用 |
プラークが溜まるとインプラント周囲炎になる事があります。適切なセルフケアと定期的なメンテナンスが必要です。 |
